Que recherchez-vous ?
Un contenu sur ce site
Une personne sur l'annuaire
Une formation sur le catalogue
Un contenu sur ce site
Une personne sur l'annuaire
Une formation sur le catalogue
Nom : I3M (Imagerie Métabolique Multi-noyaux Multi-organes)
Date de création : février 2019
Type de labcom : laboratoire commun CNRS entreprise

![]()




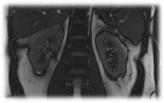
Le CHU de Poitiers a accueilli en novembre 2019 un IRM ultra haut champ à 7 Tesla qui donne accès à une imagerie moléculaire, métabolique, d’une très haute résolution permettant de mesurer la structure et la fonction des organes de façon inégalée. Cette imagerie peut faire espérer des progrès majeurs dans l’étude in vivo, de façon non invasive, de nombreuses pathologies, dans leur prise en charge clinique et le suivi de leur évolution, sous traitement, éventuellement après une chirurgie, en temps réel.
L’équipe DACTIM-MIS au sein du LMA, a pour membres des personnels du CHU et des mathématiciens, spécialisée dans les modèles bio-statistiques et réalistes (systèmes lents-rapides), pour une modélisation du métabolisme du cerveau et du métabolisme tumoral. L’équipe ICONES de XLIM possède quant à elle une expertise reconnue internationalement dans le domaine des images-multivariées, en particulier texturées, par des approches vectorielles et bio-inspirée, et développe des compétences complémentaires pour les algorithmes d’apprentissage automatique, notamment dans le cadre de l’imagerie médicale. Les équipes se connaissent et travaillent ensemble depuis 2012 dans le cadre de la fédération MIRES. C’est donc tout naturellement qu’elles se retrouvent aujourd’hui, avec le CHU, au sein du laboratoire I3M, dont l’objectif est de mettre en oeuvre des techniques innovantes d’Intelligence Artificielle pour le traitement et l’analyse automatique des images multi-modalités, pour l’aide au diagnostic et au suivi thérapeutique dans les pathologies :
Du cerveau
(neuro-oncologie, psychiatrie, études de maladies neuro-dégénératives, recherche en sciences cognitives, pharmacologie avec études de la diffusion centrale des antibiotiques par micro-dialyse intracérébrale)

Du cœur
(accidents et maladies cardio-vasculaires)

Du rein
(étude du greffon avant prélèvement, suivi du greffon chez le transplanté)


Co-direction :
Sont également impliqués les services suivants du CHU de Poitiers :